加入我们
相关网站
关于中观
新闻资讯
研发中心
客服中心
人才招聘
教育培训
技术服务
联系方式
版权申明
人力资源
联系我们
MENU
关于中观
新闻资讯
研发中心
客服中心
技术服务
人力资源
联系我们
关于中观
新闻资讯
研发中心
客服中心
人才招聘
教育培训
技术服务
联系方式
版权申明
人力资源
联系我们
人力资源
人力资源
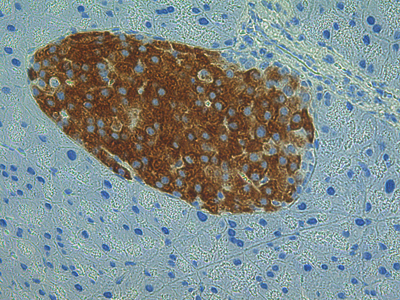
胰岛素免疫组化
时间:2019-10-27 浏览量:4335 字号:[
大
中
小
]
上一条
免疫荧光实验结果
2020-03-27
下一条
胰高血糖素免疫组化
2019-10-27
分享到
返回列表